Production of maize in Brazil has reached 50 million tons in 2009. It produces more maize than any other country in the world, besides USA and China. However despite this monoculture crop, Brazil is still able to maintain the highest biodiversity in the world. Cerrado is the main type of soil in Brazil. It is characterized by low fertility, low pH, low phosphorus, high phosphorus fixation, and toxic levels of aluminum. Basically, researchers need to develop plants that are able to deal with all of these conditions, especially the low phosphorus.
For those of you who don’t know much about transgenic plants, they are created based on efficient spatiotemporal regulation of transgene expression that is mainly regulated by the promoter region.
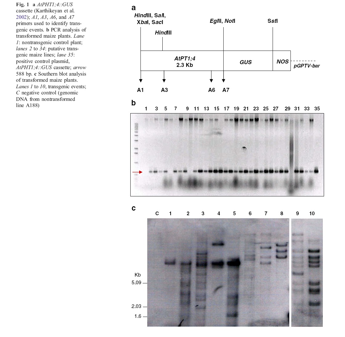
To give you a simple example, I will discuss a root-specific promoter that is induced by phosphate deprivation. It is called AtPHT1;4, which stands for Arabidopsis thaliana high affinity phosphate transporter pht1;4. The mRNAs levels of this promoter have been shown to increase in response to phosphate starvation. These observations have all been studied in Arabidopsis thaliana. So why not try and apply this scientific information to agriculture crops such as maize?
This past spring (2010), Coelho and her colleagues answered the above question with a very enthusiastic OK.
The authors of this paper started by introducing a promoter region of the AtPH1;4 gene linked to the Escherichia coli GUS reporter gene into maize. The success of this transformation can be seen to left. Based on quantitative measurements of the gene expression, using the GUS fluorometric assay, it was shown that they were able to transform maize to express this gene.
Furthermore, they were able to show that the highest level of GUS expression was observed in roots grown under phosphorus starvation, which would suggest the regulatory mechanism of this high affinity phosphate transporter was also transformed into maize. This can be seen in the figure below.
The most amazing figure of this paper is shown underneath this paragraph. It actually shows the gene in maize being highly expressed in roots and leafs during phosphorus stress. It also shows that there is more expression occurring in the root tissue relative to the leaf tissue. With this high affinity transporter now transformed into maize, it should be able to absorb much more phosphorus, and in times of stress, the crops should be able to be more efficient at absorbing the little phosphorous present into their roots.
The article concludes that there is an existence of common regulatory mechanism in monocot and dicot plants for activation of genes involved in phosphorous stress. These regulatory mechanisms can be initiated in other crops through transgenic methods. Additionally, the AtPHT1;4 promoter is a valuable tool in maize transformation studies because it may drive root preferential expression of genes, which is the part of the crop that needs to be targeted when dealing with phosphorus stress alleviation.
Now, I don’t know much about microbiology, but I understand this paper which right away signals that it is written concisely and appropriately for a vast audience. The figures of the PCR show clear bands, proving that the transformation took place. The root and leaf staining images provide a thorough picture of what is actually occurring with the up-regulation of these genes during phosphorus stress. I have done GUS staining before and trust me… it is not easy to get these types of images!
First, the x-axis is not clearly labeled on the already simple graphs and the amount of phosphorus used was not even recorded. Second, the conclusion did not contain any future directions. What information from this study can be used to actually help grow maize in Brazil? The introduction of this paper spent the whole time explaining why maize was so important, and how the soil in this country was a problem for crop production. However, the word Brazil or soil is never used again throughout the article. For me, this makes a very thorough scientifically correct paper lack necessary closure.
Let’s be honest… I read this paper to find out how these genetic tools are going to help the people of Brazil grow crops and feed the population, and I am a little unsure if the authors even answered this question.
Oh well… you win some you lose some. Necessary genes that can aid during times of phosphorus deficiency can be transformed into another crop and help them acquire more phosphorus. And this paper was scientifically and visually impressive, so I will take what I can get!
Reference
Coelho G. and Carneiro, N. 2010. A Phosphate Transporter Promoter from Arabidopsis thaliana AtPHT1;4 Gene Drives Preferential Gene Expression in Transgenic Maize Roots Under Phosphorus Starvation. Plant Molecular Biol, 28, 717-723.




No comments:
Post a Comment